近日,空军军医大学第一附属医院(西京医院)杨剑教授、刘洋教授、金屏教授、翟蒙恩教授团队,凭借精湛技艺与创新器械的完美结合,成功挑战并完成一例极具里程碑意义的经导管主动脉瓣膜置换术(TAVR)。该患者拥有周长高达104mm(直径约33mm)的罕见超大瓣环,同时合并横位心解剖结构(瓣环水平夹角66°)及重度主动脉瓣纯反流,手术难度大。
经过团队详细的术前评估和策略分析,在麻醉、超声等多学科的协同配合下,采用了DOCS VALVE® 32mm型号,顺利为患者完成主动脉瓣置换手术。瓣膜植入后效果良好,位置精准,无瓣周漏,患者症状得到明显改善。
病例简介:
64岁男性,主诉间歇性胸闷、气短、心悸15年,加重3月。3年前劳累后出现胸闷、气短等症状,伴咳嗽,就诊当地医院诊断:心脏瓣膜病,建议手术治疗。患者及家属因惧怕手术风险,于家中自服药物治疗,症状间断发作。3月前上述症状再次加重,伴夜间不能平卧入睡。为进一步治疗到西京医院就诊。
经超声提示:主动脉窦部瘤样增宽并主动脉瓣关闭不全伴钙化;升主动脉瘤样增宽;左房、左室大;二尖瓣钙化,为老年性退行性病变;主动脉硬化;左室收缩功能减低;彩色血流示:主动脉瓣上血流速度加快,瓣下反流(大量);二尖瓣反流(少-中量)。EDV:343ml ESV:184ml EF:46% FS:23% SV:159ml。经详细评估患者CTA检查后,瓣环偏大,暂无适合介入瓣膜,患者可考虑外科手术,家属及患者一致决定择期介入手术。2月前因上述症状加重,再次当地医院住院对症治疗,症状好转后就诊西京医院。
诊断:1.主动脉瓣关闭不全;2.心功能IV级(NYHA)分级;3.二尖瓣关闭不全;4.主动脉窦部瘤样扩张;5.高血压病1级(很高危);6.慢性阻塞性肺疾病(COPD)。
主动脉根部评估:

瓣环周长103.7mm,周长径33mm

LVOT周长103.1mm,周长径32.8mm

STJ 周长径45.3mm

升主动脉周长径48.1mm

SOV 43.4mm*44.5mm*40.2mm


瓣环水平夹角66°

主动脉入路评估

主动脉弓矢状位

主动脉弓冠状位

血管入路三维

血管入路MIP(右髂股直径)
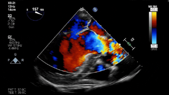
术前食道超声

术前讨论策略:
面对超大瓣环、横位心、升主动脉瘤、纯反流这四大叠加挑战,团队精准锁定DOCS VALVE®系统的独特优势:
超大尺寸覆盖 (32mm型号):有效锚定超大瓣环。
可旋转生理性定位件:精准适配横位心角度,确保瓣膜理想轴向。
短支架环内瓣设计:降低传导阻滞风险,尤其利于超大瓣环的稳定锚定。
双重可调弯输送系统:灵活应对主动脉弓及根部复杂角度(如70°调弯需求),提升过弓、跨瓣及定位的精准性与安全性。
团队制定了详尽预案,包括预防瓣膜移位、瓣周漏、传导阻滞及紧急外科后备方案,确保万无一失。
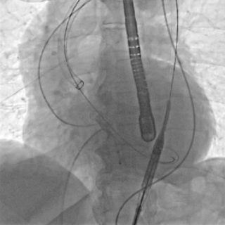
手术关键步骤:
输送器在双重可调弯设计辅助下,精准操控,稳健过弓

输送器跨过瓣膜,可旋转定位件精准进入窦底

瓣膜实现完美定位与精准释放

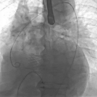
瓣膜释放后造影检查瓣膜位置,功能、形态良好,未见明显反流及瓣周漏

主动脉造影,未见升主动脉瘤影响

术后食道超声

术后食道超声证实主动脉瓣位置及功能正常,未见明显反流及瓣周漏。
术后总结:
此次手术的成功,是西京医院心脏团队顶尖技术实力与国产创新器械DOCS VALVE®系统卓越性能的完美结晶!DOCS VALVE®系统突破了大瓣环、单纯反流的应用禁忌,手术过程中无需快速起搏、无需全麻,更加安全简化。
从器械的精准定位到瓣膜的成功植入,每一步都展示着DOCS VALVE®的优异性能,为主动脉瓣反流患者带来新的希望。此次手术的成功实践,不仅为患者带来了更为显著的疗效与福祉,更在应对大瓣环主动脉瓣反流患者的诊治工作中,增添了一种更为先进、高效的治疗手段。
专家简介:

杨剑教授:空军军医大学第一附属医院(西京医院)
空军军医大学西京医院心血管外科一病区主任,博士研究生导师。美国心脏协会专家会员(FAHA)、美国心脏病学会专家会员(FACC)。获聘陕西省中青年科技创新领军人才、陕西省科技创新团队带头人,为陕西省杰出青年科学基金项目获得者。临床擅长于二尖瓣、主动脉瓣等多种结构性心脏病的经导管微创介入治疗,获评第四届“国之名医”。在微创心血管器械研发、临床转化及以3D打印为主的多模态影像学评估方面有一定建树。先后在Eur Heart J,JACC等国际期刊上以第一或通讯作者发表SCI论文50余篇,承担国家重点研发计划、国家自然科学基金等10余项基金,经费1000余万元。荣获国家科技进步二等奖、中华医学科技一等奖等奖励。授权国家专利30余项。主编《心血管3D打印技术》、《Cardiovascular 3D printing(英文版)》、《经导管主动脉瓣置换术中的3D打印技术——应用与实践》及《经导管主动脉瓣置换操作指南手册》等5部专著。

刘洋教授:空军军医大学第一附属医院(西京医院)
心血管外科博士,副主任医师,副教授,硕士研究生导师。微创结构性心脏病组组长,ECMO组组长。
美国马里兰大学医学院博士后。国家心血管病专家委员会微创心血管外科专业委员会委员。专注心血管疾病微创治疗。先后开展微创介入瓣膜病修复及置换术,瓣膜置换术后瓣周漏介入封堵术,冠状动脉漏介入封堵术等多项心血管疾病微创治疗新技术。在国内外发表研究论著70余篇,其中SCI论著28篇;主持军队重大专项子课题1项,国家自然科学基金1项,军队及省部级课题各3项;参加“863”重点课题,“十二五”、“十三五”国家重大科技专项等课题13项。获国家专利11项;主编专著1部,副主编专著3部,参编专著8部。获得省级科技进步一等奖1项,并先后获得美国ASAIO青年医师奖,欧洲Euro-ELSO青年研究者奖,中国医师协会心血管外科分会杏林奖,树兰卓越工程青年医师资助计划,中华医学会胸心血管外科分会Lillehei 奖学金及厄尔巴肯奖学金。现任中国医师协会心血管外科分会结构性心脏病专委会委员,中国研究型医院学会血管外科专委会青年委员,陕西省药理学会心血管药理学专业委员会常委,陕西省生物医学工程学会体外循环专业委员会委员,中国医疗保健国际交流促进会心脏重症分会陕西省工作委员会委员。

金屏教授:空军军医大学第一附属医院(西京医院)
副主任医师,医学硕士。200707至今西京医院心脏外科工作,2007年毕业于延安大学临床医学专业获医学学士,2018年毕业于空军军医大学外科专业(心血管方向)获医学硕士,2007年7月至今于中国人民解放军空军军医大学第一附属医院心脏外科工作,任职主治医师。从事心血管外科专业17年。业务方向:1.心脏疾病的常规治疗 先天性心脏疾病矫治,心脏瓣置换 ,冠心病的冠脉旁路移植。2.结构性心脏病的介入治疗,TAVR、TMVR、TPVR、TTVR 、COA、PVL的治疗。主要研究的方向结构性心脏病的瓣膜疾病的微创介入治疗。年手术量200余例。发表学术论文20余篇,其中SCI3篇,参编专著3部。

翟蒙恩教授:空军军医大学第一附属医院(西京医院)
博士,副主任医师、副教授。专注结构性心脏病(瓣膜病、先天性心脏病等)微创介入治疗及危重症呼吸循环衰竭患者ECMO治疗。以第一作者身份在国内外发表研究论著40余篇,其中SCI论著14篇,IF>10分2篇,单篇最高引用200余次;主持国家自然科学基金青年项目1项,陕西省基金1项,西京医院学科助推计划项目3项;参加“十三五”“十四五”国家重大科技专项、国科金面上项目等课题10余项。主编专著1部,参编专著5部;获批国家专利5项。先后获得中华医学科技奖青年科技奖、中华医学会胸心血管外科分会青年医师优秀论文一等奖、空军军医大学科技贡献奖、抗击新冠肺炎疫情先进个人、三等功等荣誉。
免责声明:市场有风险,选择需谨慎!此文仅供参考,不作买卖依据。